지난 3일, 네이처 메디신(Nature Medicine)에 실린 연구에 따르면 인간의 뇌 조직에서 미세플라스틱과 나노플라스틱이 검출되었으며, 특히 치매 환자의 뇌에서 더욱 높은 농도로 발견되었다. 연구를 수행한 뉴멕시코 대학교(University of New Mexico) 매슈 캠펜(Matthew Campen) 교수 연구팀은 사망자의 뇌, 간, 신장 조직을 분석하여 이러한 결과를 도출했다. 이번 연구는 플라스틱 오염이 인간의 건강에 미치는 영향을 규명하는 중요한 단서를 제공했다.
이번 연구가 게재된 네이처 메디신은 세계적인 학술지인 '네이처(Nature)'가 발행하는 의학 분야 저널로, 의생명과학 및 임상 연구에서 영향력 있는 연구 성과를 다룬다. 연구의 신뢰성이 높고 동료 심사를 거친 논문만이 게재되는 만큼, 이번 발표는 플라스틱 오염이 인간 건강에 미칠 수 있는 장기적인 영향을 논의하는 데 중요한 역할을 할 것으로 보인다.
나노플라스틱, 인간의 뇌에서 검출되다
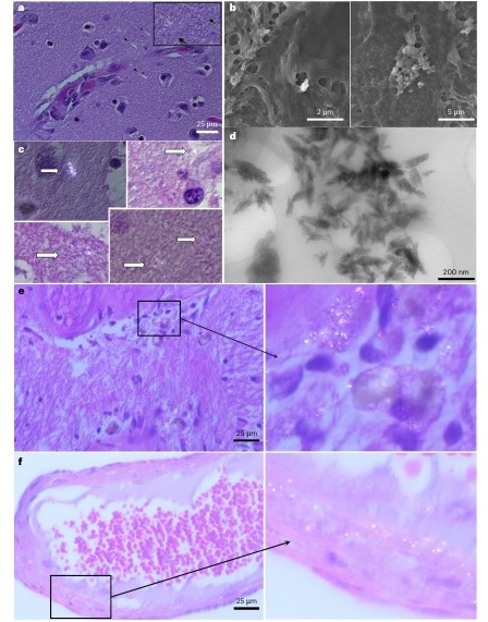
이번 연구에서는 2016년과 2024년에 사망한 사람들의 뇌, 간, 신장 조직을 분석하여 각 장기에서의 미세플라스틱 및 나노플라스틱 농도를 측정했다. 연구진은 파이로리시스 가스크로마토그래피-질량분석(Py-GC/MS), 적외선 분광분석(FTIR), 전자현미경(SEM, TEM), 에너지 분산 분광법(EDS) 등 최첨단 기술을 동원해 나노 수준의 플라스틱까지 검출할 수 있도록 했다.
그 결과, 뇌 조직에서 간이나 신장보다 최대 30배 높은 미세 및 나노플라스틱 농도가 확인되었다. 특히, 2016년과 2024년을 비교했을 때 뇌 조직 내 플라스틱 농도가 약 50% 증가한 것으로 나타났다. 이는 최근 수십 년간 환경 내 플라스틱 오염이 심화되었으며, 이에 따라 인체 조직 내에서도 그 축적이 증가했을 가능성을 시사한다.
검출된 플라스틱의 상당 부분은 폴리에틸렌(PE)으로, 연구진은 특정 유형의 플라스틱이 간이나 신장보다 뇌 조직에 더욱 집중적으로 축적될 가능성이 있다고 분석했다. 이러한 발견은 플라스틱 입자가 혈뇌장벽(blood-brain barrier, BBB)을 통과할 수 있음을 시사하며, 나노플라스틱이 신경계에 미칠 수 있는 잠재적 영향을 고려해야 할 필요성을 제기한다.
치매 환자 뇌에서 더욱 높은 농도로 확인
연구에서 가장 주목할 만한 결과 중 하나는 치매 환자의 뇌 조직에서 일반인보다 최대 5배 높은 수준의 미세 및 나노플라스틱이 발견되었다는 점이다. 연구진이 2019년부터 2024년 사이 사망한 치매 환자 12명의 뇌 조직을 분석한 결과, 이들의 뇌에서는 일반인보다 훨씬 더 많은 플라스틱 입자가 검출되었다.
특히, 나노플라스틱이 뇌혈관 벽(cerebrovascular walls)과 면역세포에 더욱 집중적으로 축적된 현상이 관찰되었다. 이는 혈뇌장벽이 손상된 치매 환자에서 플라스틱 입자가 더욱 쉽게 축적되었을 가능성을 시사한다.
다만, 연구진은 이번 결과가 나노플라스틱이 치매를 유발한다는 직접적인 증거가 아니라는 점을 강조했다. 뇌에서 플라스틱이 검출되었다고 해서 그것이 치매의 원인이라고 단정하기는 어렵다는 것이다. 오히려 치매로 인해 혈뇌장벽이 손상되면서 플라스틱 입자가 더 많이 축적된 것일 가능성도 배제할 수 없다. 이 때문에 연구진은 보다 정밀한 추가 연구가 필요하다고 강조했다.
나노플라스틱이 어떻게 인간의 뇌에 유입되고 축적되는지에 관해서는 ▲음식이나 공기를 통해 체내로 흡수된 나노플라스틱이 장을 통해 혈류로 이동할 가능성 ▲혈뇌장벽을 통과할 가능성 ▲뇌 조직에서의 자연적인 배출 경로가 존재하지 않을 수 있다는 점 등을 가능성으로 제기했다.
이번 연구로 인간의 뇌에서 미세 및 나노플라스틱이 발견되었으며, 시간이 지남에 따라 그 농도가 증가하고 있음을 확인했다. 특히 치매 환자에서 플라스틱 입자의 축적이 더욱 두드러졌다. 다만 연구진은 이것이 신경계 질환을 유발하는지 여부는 추가 연구가 필요하다는 점도 명확히 했다.
이번 연구가 보여주는 가장 중요한 메시지는 플라스틱 오염이 단순히 환경 문제에 그치지 않고 인체 건강에 직접적인 영향을 미칠 수 있다는 점이다. 나노플라스틱의 인체 영향력이 입증된만큼, 더욱 정밀한 연구와 정책적 대응이 필요할 것이다.
